What is a PET Scan?

Hybrid Exam /Image Fusion:

A PET/CT scan is a hybrid imaging study that combines a PET scan’s ability to demonstrate metabolic activity (“a functional exam”) with the CT scan’s ability to define precise anatomic detail (an anatomic exam).

While PET/CT imaging is useful in a number of clinical settings, including cardiac and dementia imaging, its most common use (and the use for which PETCTMD was created) is in the field of Oncology. [Fig. 1]  [Fig. 2]

PET/CT imaging depends on detection of an injected radiotracer introduced into the body prior to imaging.  In the case of oncologic imaging, the radiotracer utilized is almost exclusively 18F-FDG.       

                  

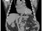
CT Portion of the Exam:  Its value lies in its excellent anatomic detail, as demonstrated in the case above.  In this patient presenting for post-treatment assessment of lymphoma, the CT clearly demonstrates abnormal soft tissue density above and below the diaphragm.  From the CT scan, we know abnormal soft tissue exists, its size and precisely where it is located. What we do not know from the CT scan is the answer to the ultimate clinical question: Does this remaining soft tissue represent active malignancy or post-therapeutic scarring — Does this patient still have cancer? For the answer, we must turn to the PET portion of the examination.

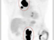
PET Portion of the Exam: Although of extremely limited anatomic value, the PET study has the impressive ability to determine whether the residual soft tissue on the CT scan represents active malignancy or post-therapeutic scar tissue. In this case, the intense metabolic activity is consistent with active lymphoma both above and below the diaphragm.

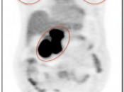
Fused Images: The impressive power of PET/CT is dramatically illustrated when we fuse the “anatomic” CT images with the “functional” PET images, revealing an elegant anatomic map of all active disease.

The Machine & The Exam

A single machine, combining both a PET scanner and a CT scanner, sequentially images the patient. The CT gantry and the PET gantry are aligned in parallel position, both attached to a shared patient bed.

The helical CT portion of the exam is performed first, taking less than 45 seconds. The patient is then re-positioned further into the machine and the PET scan is performed, usually taking 20-30 minutes. Post-processing of the acquired images is then performed.

Imaging & Processing

Oncologic exams are generally performed as either a “whole-body” study (top of the head through the bottom of the feet) or as a “skull-base to mid-thigh” exam.

The vast majority of exams performed are “skull base to mid-thigh”.  “Whole-body” scans are most commonly performed for melanoma, myeloma, some sarcomas and when a specific clinical presentation requires it.

Exams are performed using a large field of view to include as much of the body as possible (as these studies are looking for any potential site of metastatic disease).

Images are then reconstructed to permit viewing in the axial, sagittal and coronal planes.

Three sets of images are produced for interpretation by the radiologist (addressed in greater in detail, here).  

  1. CT images (in three planes)
  2. Non-Attenuation Corrected PET Images

3. Attenuation Corrected PET Images [Fig. 3]