Colon

After the stomach, normal intense colon uptake is the most over-called “abnormality” by the inexperienced PET/CT radiologist.

The colon — focally or diffusely — often demonstrates intensely uptake of FDG. 

Proposed mechanisms for colonic uptake of FDG include muscle contractions, the presence of lymphoid tissue and intraluminal contents.  

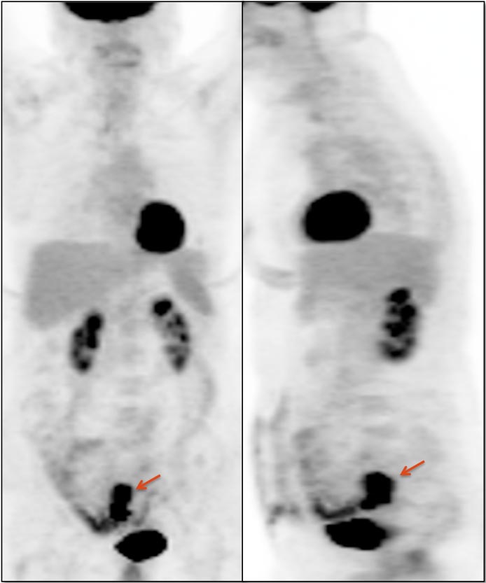
The most common sites of normal physiologic intense colon uptake are the cecum and the distal rectum.

Generally, colonic uptake should be considered normal unless:

  • There is an accompanying CT abnormality (e.g. focal bowel wall thickening or focal mass); or
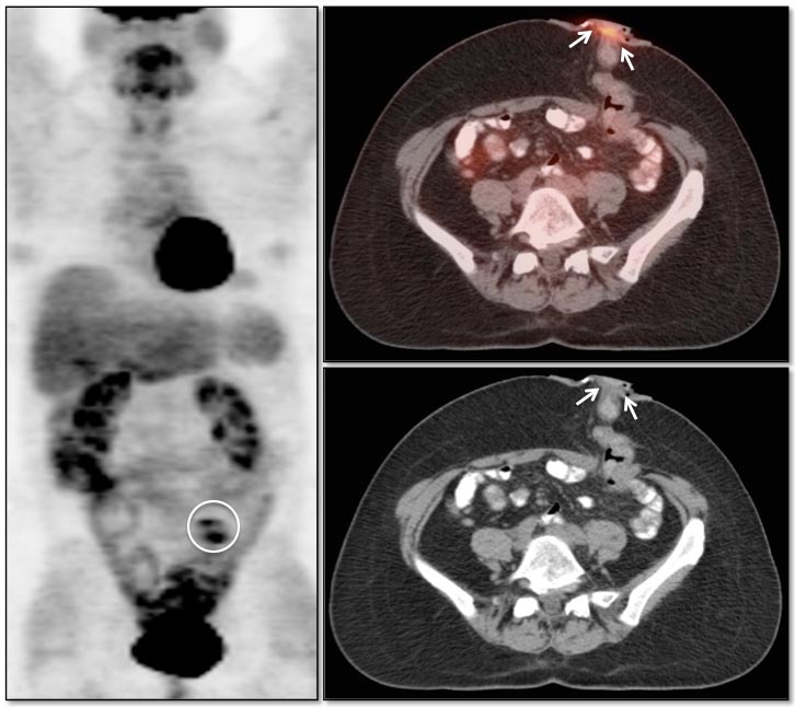
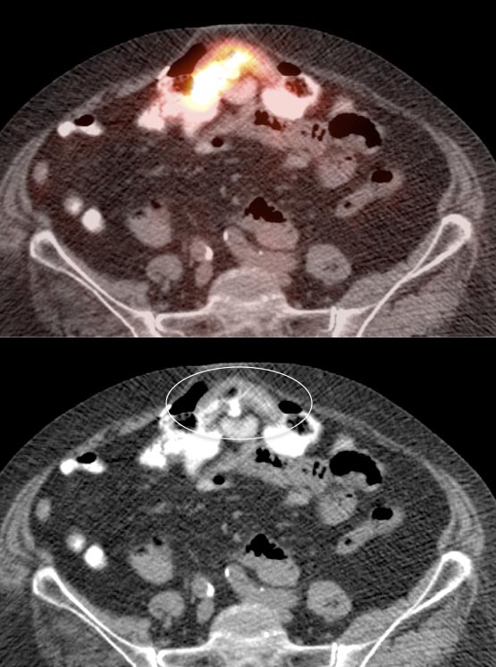
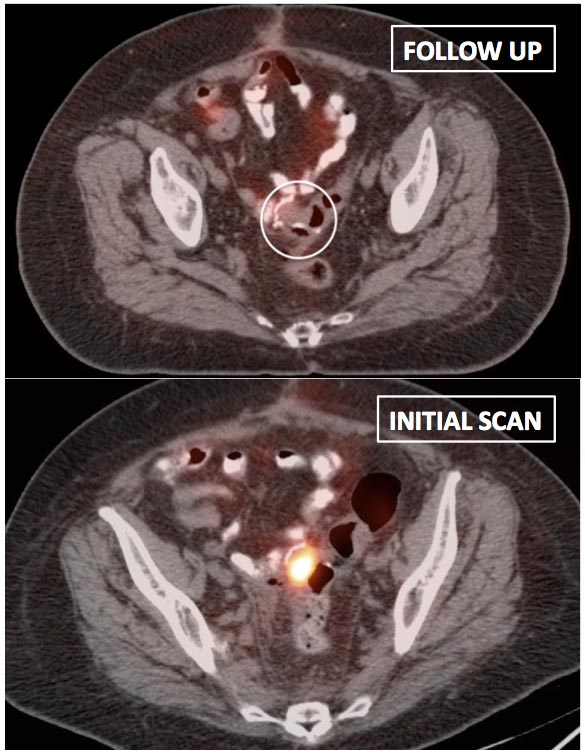
  • A solitary focus of intense uptake presents in an otherwise non-avid (or minimally avid) colon.  Although this focal uptake may still represent normal physiologic uptake, it is reasonable to raise the possibility of a small polyp and recommend colonoscopy (polyps are rarely visible on the CT images). 

We generally report, “As an adenomatous polyp or other pathology cannot be excluded, further evaluation with colonoscopy may be warranted, if not recently performed.”

Caveats:

Hemorrhoidal Inflammation:  

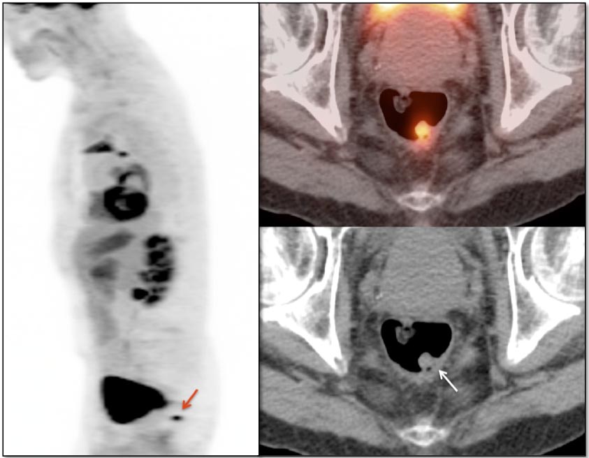
Focal intense uptake in the ano-rectal region is a very common finding. It is considered normal in the absence of an associated soft tissue abnormality. It is often attributed to hemorrhoidal inflammation.  

Be careful to not confuse ano-rectal uptake (typically representing hemorrhoidal inflammation) with rectal uptake (often malignancy).

Metformin

This very popular medication is notorious for causing extensive and extremely intense bowel uptake (colon > small bowel).  As this uptake can occasionally limit interpretation, we ask our patients to discontinue Metformin 24-hours prior to their exam.