Cervical Cancer

Fast Facts:

  • 2nd most common cancer in women worldwide
  • Localized Disease: 5-year survival: 91%
  • Distant Disease: 5-year survival: 16%
  • Squamous cell carcinoma > 90%
  • Adenocarcinoma 5-9%

Value of PET/CT Scan for Cervical Cancer

Screening & Diagnosis:  No current role for PET/CT.

Initial Staging:  

  • Valuable diagnostic tool for locally advanced disease, to determine nodal status and potential distant metastatic disease (if no evidence of regional or distant disease, initial management is surgical).
  • PET/CT has high sensitivity (>80%) and high specificity (>90%) for metastatic lymph nodes ≥ 8.0 mm.

Indicator of Prognosis: Evidence suggests the more intensely avid the primary tumor, the poorer the patient prognosis.

Directs Radiation Therapy Planning: External beam radiation and brachytherapy planning can be directed from the acquired PET/CT data.

Recurrence, Restaging & Surveillance: 

  • PET/CT is utilized for patients with known or suspected recurrent disease (or at high risk for recurrence).
  • Distinguishing recurrence from post-therapeutic inflammation.

Assessing Response to Therapy & Prognosis: Assess success or failure of therapy, and ultimate outcome/prognosis.

What We Report:  

The size, metabolic activity & location of the primary lesion and representative metastatic lesions are reported. 

Primary Lesion:  

  • Nearly every cervical cancer ≥ 8.0 mm is intensely FDG avid (MRI, however, is still considered the best modality for evaluating tumor size and invasion).

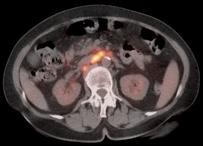
Metastatic Disease: 

  • Direct invasion of adjacent structures.
  • Lymphatic spread to pelvic and retroperitoneal lymph nodes.
  • Hematogenous spread, often to lungs, liver, and bone.

False Negatives:

  • Primary lesions < 8.0 mm (beneath the resolution of PET)
  • Nodes or metastatic deposits < 8.0 mm

False Positives:

  • Post-radiation inflammatory changes