Renal Cell Carcinoma

Fast Facts:

  • 3% of all US cancers (9th most common US cancer)
  • 80-85% of all renal malignancies
  • > 50% are an incidental finding
  • 75% are clear cell carcinoma
  • Localized Disease: 5-year survival: 92%
  • Distant Disease: 5-year survival: 12%

RCCA:  An Easily Overlooked Primary with PET/CT   (3 Big Limitations)

  1. FDG is excreted and accumulates in the kidney, easily masking areas of pathologic uptake.
  2. Many renal cell carcinomas are only mildly FDG-avid.
  3. Nearly every PET/CT scan is performed without intravenous contrast, markedly limiting evaluation of the kidneys on the CT portion of the exam.
    • These 3 limitations lead to a sensitivity of only ≈ 60% for the detection of a primary RCCA lesion.
    • If patient has a hypermetabolic non-renal primary malignancy (e.g. lung cancer) and a very hypermetabolic renal mass, it is more likely that the renal mass is a metastasis than a synchronous primary RCCA.

PET/CT Indications

Screening:  Because of the low sensitivity for RCCA with PET/CT imaging (for reasons described above), there is no role for PET/CT in the screening of RCCA.

Diagnosis: Because of its high specificity (≈ 95%) for RCCA, there is a limited role of PET/CT in the evaluation of indeterminate renal masses noted on a prior CT, MRI or ultrasound.  If it is FDG avid, it is nearly always cancer. If it is not FDG avid, it may or may not be cancer.

Initial Staging:  

  • Can be useful diagnostic tool to assess potential regional or distant metastatic disease.
  • PET/CT has high much higher sensitivity for metastatic lesions than for the primary lesion.

Recurrence, Restaging

  • PET/CT is utilized for patients with known or suspected recurrent disease (or at high risk for recurrence).
  • Distinguishing recurrence from post-therapeutic inflammation/scarring.

Assessing Response to Therapy & Prognosis: Assess success or failure of therapy, and ultimate outcome/prognosis.

What We Report:  

The size, metabolic activity & location of the primary lesion and representative metastatic lesions are reported. 

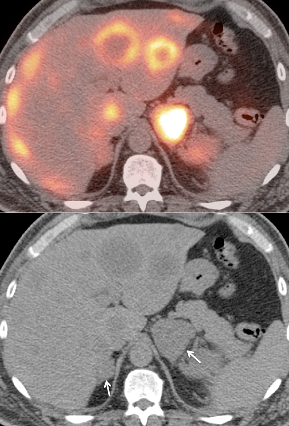
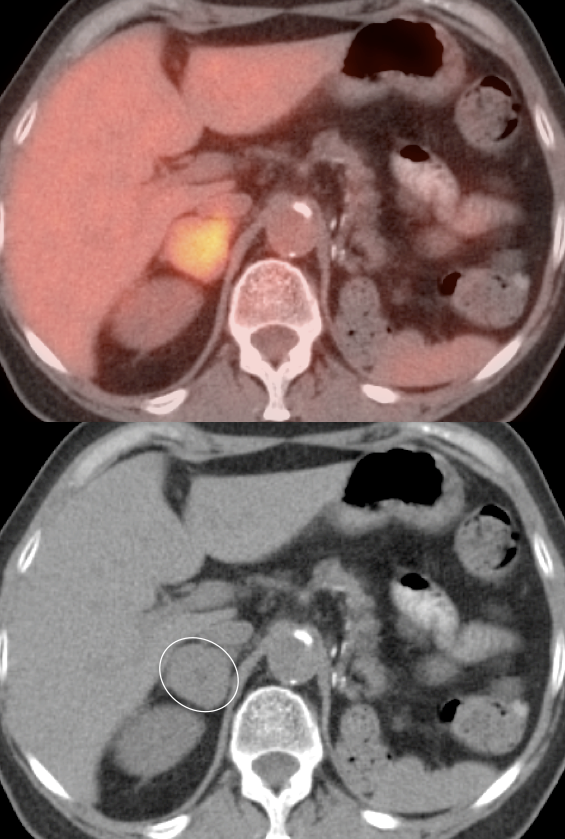
Primary Lesion:  Because many primary RCCA lesions are only mildly FDG avid, we must raise a suspicion of RCCA for any FDG-avid renal lesion (cystic or solid) — unless we can clearly characterize it as a fat-containing angiomyelolipoma.

  • Most RCCA lesions will have been resected prior to PET/CT imaging.
  • Pre-surgical scans are occasionally ordered to fully stage the patient prior to resection. 
  • On occasion, an incidental RCCA will be identified.

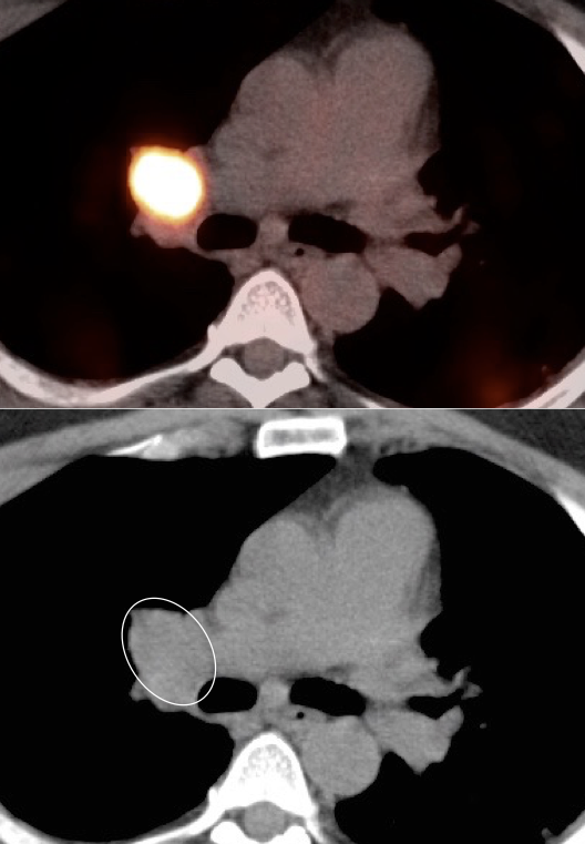
Metastatic Disease: Metastatic RCCA lesions are usually more FDG avid than the primary lesion (nearly all demonstrate metabolic activity greater than liver uptake).

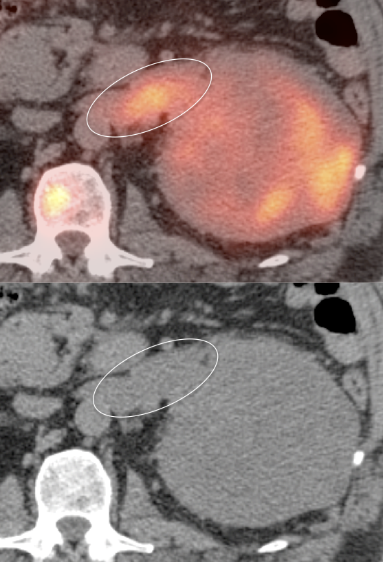
  • Direct invasion of adjacent structures.
  • Tumor thrombus into renal vein must be excluded.
  • Hematogenous spread, often to lungs, bone, liver, and brain.
  • Lymphatic spread to regional and distant lymph nodes.

False Negatives:

  • Low-grade lesions
  • Lesion masked by normal urine activity
  • Primary lesions < 8.0 mm
  • Nodes or metastatic lesions < 8.0 mm

False Positives:

Common: Pooling of FDG-avid urine in a renal calyx.

Rare:

  • Focal pyelonephritis
  • Oncocytoma
  • FDG-avid angiomyelolipoma