Chapter 1: The science and the scan
"Boring, But Necessary"
- Hybrid Imaging System
- Anatomic & Functional Exam
- The Machine
- “Whole Body” vs. “Skull Base to Mid-Thigh”
- Three Sets of Images
Produced
- Glucose Analog
- Malignancy & Glucose Metabolism
- Mechanisms for Increased Intracellular Glucose
- Why 18F-FDG Works
- Whole Body Assessment
- The “You’re Kidding Me!” Effect
- Post-Therapeutic Scar vs. Active Malignancy
- Detecting Malignancy
- Staging Malignancy
- Assess Response to Therapy
- Detecting Recurrence
- Not All Cancer is FDG-Avid
- Normal FDG-Uptake vs. Pathologic Uptake
- Technical Limitations
- Poor Patient Preparation
- Misregistration
- Brown Fat Activation
- SUV Problems
- Fields of View Discrepancy
- PET/CT Artifacts
- Timing of Exam After Therapy
- CT Images
- Non-Attenuation Corrected Images
- Attenuation Corrected Images
- Maximum Intensity Projection (MIP)
- Fusion of Images
- All Images Viewed in 3 Planes
7. Contrast Media: Oral & I.V.
- Who Gets Oral Contrast?
- Who Gets IV Contrast?
- Oral Contrast “Cocktail” Recipe
8. What the Patient Should Expect
- Documenting Height & Weight
- Private Resting Room
- Drinking PO Contrast
- FDG Injection
- Delay Between Injection & Scan
9. Safety Concerns with PET/CT Imaging
- Radiation Exposure to Patient
- Radiation Exposure to Patient’s Contacts
- Patient Contact with Pregnant Women
- Breastfeeding
Chapter 2: PET/CT Problems Which Limit Interpretation
"Something just doesn't seem right here"
- Optimizing Glucose & Insulin Levels
- Fasting Prior to Exam
- Diabetic Patients
- Low Carbohydrate Diet
- Hydration
- Strenuous Exercise
- Voiding Prior to Exam
- Patient Instruction Sheet
- Definition
- Distribution / Appearance
- Don’t Miss the Hidden Nod
- Reporting Language
- Prevention
3. Timing of PET/CT Exam After Therapy
- “Rule of 3”
- Chemotherapy: 1 month
- Surgery: 2 months
- Radiation: 3 months
- Etiology: Hybrid Imaging
- Patient Movement
- Respiratory Motion
- Breathing Techniques
- Bowel Peristalsis
- False Positives
- False Negatives
- Reporting Language
- Beam Hardening
- Diaphragmatic Mismatch
- Linear Hand Motion
- Attenuation Correction
- Differing Fields of View
- Poor Patient Preparation
- FDG Extravasation
- Extensive Brown Fat
- Metformin-Induced Bowel Uptake
- Marked Reactive Marrow Uptake
- Extensive Tumor Uptake in
- Different Types of SUV Measurements
- Factors that Influence SUV Measurements
- What SUV Number Indicates Malignancy?
- What Percent Change in SUV on a Follow Up Exam is Significant?
- How to Compare Exams With Very Different Background Metabolic Activities?
Chapter 3: The Standardized Uptake Value (SUV)
"The good, the bad & the ugly"
1. What is the SUV & Why Used?
- Quantitative vs. Qualitative Assessment
- Unitless Measurement
- Formula
- SUV = ?
- Patient Preparation
- Time Between FDG Injection & Scan
- Partial Volume Effects
- Extravasation
- Patient Weight
- Size & Position of ROI
- Attenuation Correction Artifacts
- Consensus?
- Body Weight
- Lean Body Mass
- Ideal Body Weight
- Body Surface Area
- Maximum vs. Mean
- Average SUV’s by Organ
4. Interpreting the SUV: Threshold Values, “Oncologic Plausibility” & Relative Uptake
- Precise Threshold Values?
- “Oncologic Plausibility”
- Relative Uptake
- Assessing Nodes in Lymphoma Cases
- Assessing Nodes in Non-Lymphoma Cases
- Potential Lesions in Solid Organs
- Pulmonary Nodules
5. What % Change in SUV on a Follow Up Exam is Clinically Significant?
- The Problem
- Current Recommendations
6. How to Compare Sequential Exams With Very Different Background Activities?
- Differing Background Metabolic Activities
- When Qualitative Assessment is Required
- Reporting Language
7. Should We Just Abandon the SUV?
- Pros & Cons
- “Qualitative” Definitions
- Mild
- Moderate
- Intense
- Final Recommendations
Chapter 4: Our Systematic Approach to Reading a PET/CT
"Eat your vegetables"
1. Reading Station & Reading Software
- Reading Station
- Monitor Set-Up
- PET/CT Reading Software
- Hanging Protocol
- Reading in Context (“Oncologic Plausibility”)
- Measure Size on CT, Not on PET Images
- Abnormality Seen Only on First PET Image
- Assess the Patient’s Main Pathology Last
- Beware the Ureter
3. Excellent Views: The MIP, Coronal & Sagittal Images
- 3-D Rotating MIP & Coronal “Quick MIP”
- Coronal PET
- Sagittal PET
4. Written Annotations While Reading
- Numbers, Numbers & More Numbers
- Size & SUV Annotation System
- Sample Annotation Sheet
- Goals of Reporting
- Lawyers, Lawyers & Lawyers
- Sample PET/CT Report
- Negative Exam
- Positive Exam
- Patient Questionnaire
- Technologist’s Data Sheet
- Huge Exam: Requires Systematic Approach
- Our “12-Step Reading System”
- “The Read” in Action: Sample Case (Video)
- Annotations for Sample Case
- Final Report for Sample Case
Chapter 5: Normal Physiologic Distribution of FDG
"The essentials"
- To Locate Cancer, First Eliminate:
- Normal FDG-Avid “Structures”
- Benign FDG-Avid “Findings”
Chapter 6: Benign FDG-Avid "Findings" & Common Diagnostic Challenges
"Separating the Expert from the Not-So-Expert"
3. Chest
- Inflammatory Lymph Nodes
- Thymic Rebound
- Pleura: Talc Pleurodesis vs. Malignancy vs. Inflammation
-
Radiation-Induced Lung Disease
- Radiation Pneumonitis
- Radiation Fibrosis
- "Post-Therapeutic Inflammatory Changes" / Scarring of the Lung
- Atelectasis / Infiltrate
- Lipomatous Hypertrophy of the Inter-Atrial Septum
- Elastofibroma Dorsi
- Site of Prior Chest Port
- Esophagitis vs. Neoplasm
- Subcutaneous & Intramuscular Medical Injections
- Injected FDG-Blood Clot
4. Abdomen & Pelvis
- The Heterogeneous Liver
- Liver Ablation
- Hypermetabolic Geographic Fatty Infiltration
- Hypermetabolic Hepatic Adenoma
- FDG-Avid Adrenal Gland Algorithm
- Therapy-Induced Splenic Activation
- Peritoneal Carcinomatosis
- Pre-Sacral Soft Tissue After Rectal Surgery
- Gallbladder: Cholecystitis vs. Malignancy
- Inguinal Herniorraphy
- Bladder in Inguinal Canal
- Uterine Fibroid
- Tampon
5. Miscellaneous (continued)
-
Vascular Uptake
- Atherosclerosis
- Vasculitis
- Vascular Grafts
-
Value of NAC PET Images
- Resolving AC Artifacts
- Lung Nodule Identification
-
Non-Malignant, Yet Clinically Significant, FDG-Avid CT Abnormalies
- Acute Diverticulitis
- Colitis
- Cholecystitis
- Pneumonia
- Abscess
- Pancreatitis
- Skeletal Abnormalities [See Chapter 7]
Chapter 7: The Bones
"...is connected to the..."
Chapter 8: The Cancers
"Putting it all together"
Variables that Affect SUV
Unfortunately, SUV calculations are significantly influenced by a variety of factors, the effects of which can be profound. An understanding of the limitations associated with SUV interpretation is essential to their proper use. Blind adherence to SUV calculations can be misleading and dangerous.
Patient Preparation (Plasma Glucose Level, Insulin, Exercise):
Essentially, elevated plasma glucose will compete with FDG (a glucose analog), decreasing tumoral uptake. Elevated glucose also stimulated insulin production, driving glucose (and FDG) into muscle. Recent strenuous exercise also drives FDG into skeletal muscle. Ultimately, excessive skeletal muscle uptake, irrespective of etiology, both decreases available FDG for tumor uptake (decreasing tumor SUV) and potentially obscures lesions within or adjacent to this hypermetabolic muscle. [FIG. 1] [FIG. 2]
Time Between FDG Injection & Scan:
FDG accumulation in tissues generally increases in both normal and malignant tissues for at least 90 minutes before normal washout begins (some studies suggest plateauing of uptake can take up to 3-hours). Therefore, a patient imaged 45 minutes after injection might demonstrate lower SUV’s than if that same patient had been imaged at 90, 120 or 180 minutes.
This is of particular concern when comparing serial exams. If the two scans had significantly different time delays before scanning, SUV comparisons may be completely erroneous. Consequently, following standardized imaging protocols is essential with PET/CT scanning (which may be impossible if the patient was previously scanned at an another facility). [FIG. 3]
Partial Volume Effects:
When the activity of a specific volume of tissue is being measured, the actual measurement includes adjacent tissues, falsely influencing (usually decreasing) the SUV calculation.
This effect results from the intrinsic poor resolution of PET scanning, and is influenced by the imaging parameters of the machine, the size and morphology of the object being evaluated, and the distribution of FDG in the body.
Partial volume effects occur for nearly all lesions less than 3.0 cm in diameter. The smaller the lesion, the more significant the partial volume effects.
The effects are so significant for small lesions, that lesions less than 8.0-mm should be considered “beneath the resolution of PET”. [FIG. 4]
Therefore, a 6.0-mm non-avid pulmonary nodule should not be dismissed as benign simply because it is non-avid. A nodule of this size must be considered “indeterminate”, as it is “beneath the resolution of PET ”.
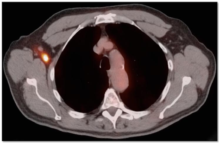
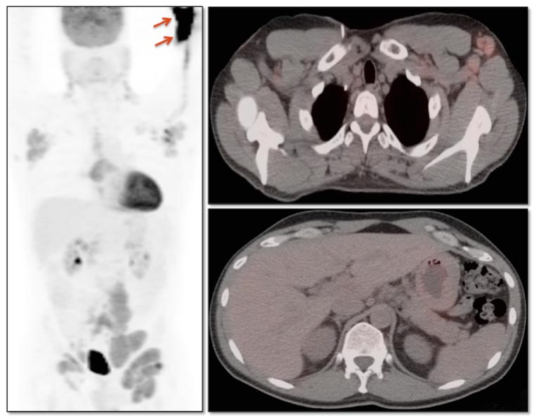
Extravasation:
FDG is injected intravenously. As many oncology patients have challenging venous access, partial extravasation of FDG during injection is not uncommon.
This extravasated FDG can cause false positive uptake in adjacent nodes and vessels (discussed here). Additionally, the resulting decrease in available FDG for circulation in the body (and absorption into tumors) can lead to false negative results (the “Sponge Effect”, discussed here). [FIG. 5] [FIG. 6]
Patient Weight:
The more obese the patient, the more elevated the FDG uptake in both normal organs and tumors. This results from the fact that FDG is poorly taken up by fat, when the patient has been in a fasting state. Therefore, the greater a patient’s percentage of fat, the greater percentage of the FDG dose remains available for non-fat tissue uptake.
Consequently, SUV’s of both normal organs and tumors are higher in obese patients than in thin patients (studies suggest up to a 50% increase in SUV measurements can be seen in morbidly obese patients).
This raises two concerns:
- Is the SUV of a lesion overestimated because a patient is obese?
- If the SUV of a lesion has changed between exams, could this change simply reflect alterations in the patient’s weight rather than a true change in intrinsic tumor activity? [FIG. 7]
Size & Positioning of ROI:
When measuring an SUV, a region of interest (ROI) is drawn around the lesion. It is essential to assure that only the lesion is included in this ROI.
It is very easy to inadvertently include adjacent hypermetabolic structures in an ROI (frequently seen with lesions next to the heart, bladder, liver or brain), falsely increasing the measured SUV. [FIG. 8] [FIG. 9]
Attenuation Correction (AC) Artifacts:
On occasion (typically in older PET/CT machines), attenuation correction of PET images can result in falsely elevated metabolic activity in regions of high CT density (e.g. metallic devices, oral contrast, calcification). In such cases, these areas must be reviewed on the NAC (non-attenuation correction) images. If these regions are not also hypermetabolic on the NAC images, then their apparent increased FDG-uptake on the AC images is artifactual. [FIG. 10] [FIG. 11]














