Tongue Base

Fairly uniform and symmetric (non-focal & non-eccentric) FDG uptake along the base of the tongue typically represents normal lymphoid tissue involving Waldeyer’s ring, even if intensely avid.

When a fairly complete hypermetabolic Waldeyer’s ring is seen (annular configuration of lymphoid tissue encircling the pharynx, including the palatine tonsils, adenoids, lateral walls of the oropharynx, and the lingual tonsils along the base of the tongue), the uptake along the base of the tongue will nearly always be normal.

In such cases, we generally do not even mention this uptake in our reports (must always first examine the co-registered CT images to exclude an associated soft tissue mass).

If symmetric, but accompanied by significant soft tissue fullness, we are more cautious – even though the majority of such cases do not represent malignancy. In such cases, we report:

Prominent, intensely-avid soft tissue density is noted along the base of the tongue (SUV 4.6).  While a neoplastic process cannot be entirely excluded, its symmetric and uniform uptake suggests this is physiologic or inflammatory in nature.

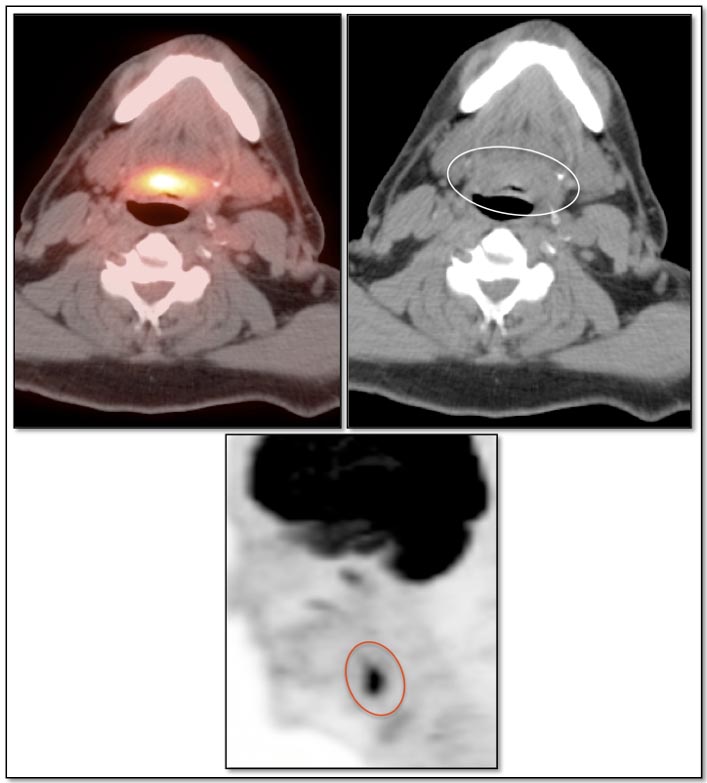
Focal uptake within the body of the tongue can be seen if the patient was vocalizing after FDG injection (when focal, careful analysis of the CT images is required to exclude a focal lesion — often difficult without IV contrast).

Focal, eccentric or asymmetric uptake along a portion of the tongue base should always raise a concern for a primary tongue base cancer, and requires direct visualization by a clinician (addressed in detail, here).