Colorectal Cancer

Fast Facts:

  • 3rd most commonly diagnosed cancer
  • 3rd leading cause of cancer deaths (men & women)
  • Localized disease 5-year survival: 90%
  • Distant disease 5-year survival: 13%

Indications for PET/CT:     

Not a Screening Exam

Although not employed for screening, it is not uncommon to discover an incidental colorectal cancer on a PET/CT ordered for a completely different indication. 

Initial Staging

  • Most initial staging is performed intra-operatively (most patients present with obstructive symptoms and require urgent surgery).
  • As a baseline study in patients with advanced disease.
  • High clinical suspicion for cancer, but a negative CT evaluation. 
  • High suspicion of metastatic disease at presentation. 
  • When neoadjuvant chemo and/or radiation is contemplated (rectal cancers).

Assessing Response to Therapy:

  • Early Response: Non-responders can be offered alternative therapy.
  • Late Response: Assess success or failure of therapy, and ultimate outcome.

Recurrence & Restaging: (Most common indication)

  • Rising tumor markers & negative (or indeterminate) CT scan.
  • Restaging known recurrence, especially if surgery is contemplated.
  • Distinguishing recurrence from post-therapeutic inflammation/scarring.

Presentation of Primary Cancer

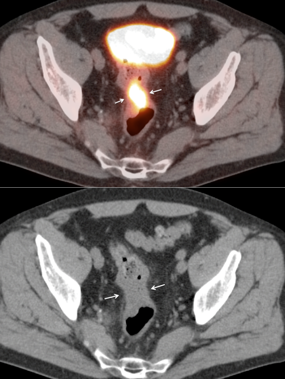
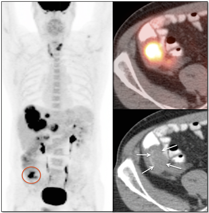
  • Focal bowel uptake, usually with associated bowel wall thickening.
  • If long-segment, think inflammation.
  • If diffuse, usually normal physiologic uptake.

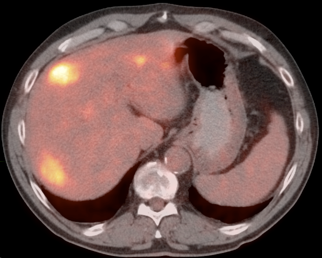
Metastases:  

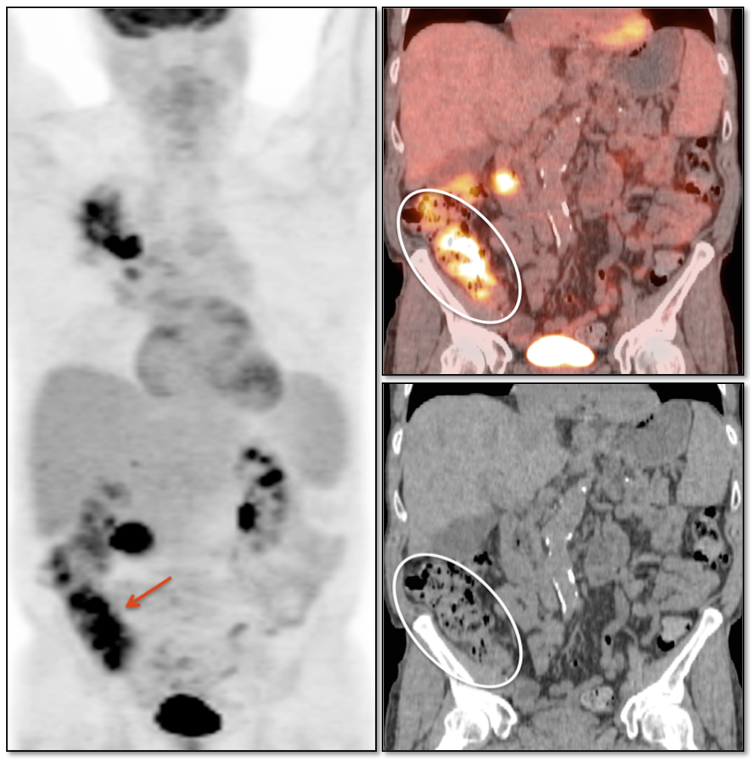
The most common sites of metastatic disease include the lymph nodes (regional & distant), liver, lung, peritoneal cavity, bones, brain and adrenal glands.

False Positives:

  • Normal physiologic bowel uptake (discussed here) can be very focal and isolated to only one part of the colon, most commonly the cecum and rectum. Always look for associated bowel wall thickening on the CT images.
  • Benign polyps  (discussed here) can be intensely avid. They are usually not visible on the CT images.
  • Inflammation (e.g. colitis) can be intensely avid and associated with bowel wall thickening (usually segmental, not focal).
  • Post-Surgical inflammation (discussed here) can be focal and hypermetabolic. Must interpret in the clinical context (e.g. was the surgery recent or remote?). Often requires follow up.  
  • Metformin (discussed here) can cause extremely intense areas of bowel uptake.
  • Oral Contrast (discussed here) can cause artifactually increased FDG-uptake on attenuation correction images.
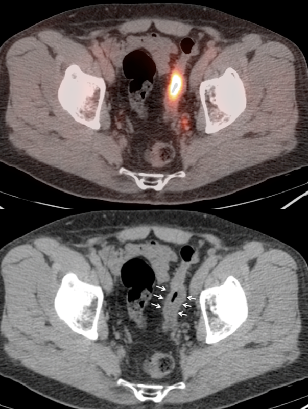
  • Hemorrhoids are often intensely avid in the ano-rectal region (and are usually not visible on the CT images). Be certain that uptake does not lie more superiorly in the rectum. Additionally, carefully assess for an accompanying soft tissue density to exclude an anal cancer.  

False Negatives:

  • If there are multiple areas of intense bowel uptake (a common finding), the primary tumor can be difficult to locate — especially if the associated soft tissue lesion is small, which can be undetectable with CT imaging.
  • Nodes under 8.0 mm may be non-avid only because they are beneath the resolution of PET (metastatic nodal assessment is discussed in detail, here).
  • If < 8.0 mm, even mild uptake in a regional node is “highly suspicious”.
  • If < 8.0 mm, even non-avid regional nodes are worrisome, and are considered “indeterminate”.
  • Mucinous adenocarcinomas and necrotic tumors can have low avidity for FDG.

Caveats:

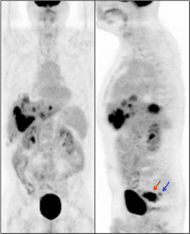
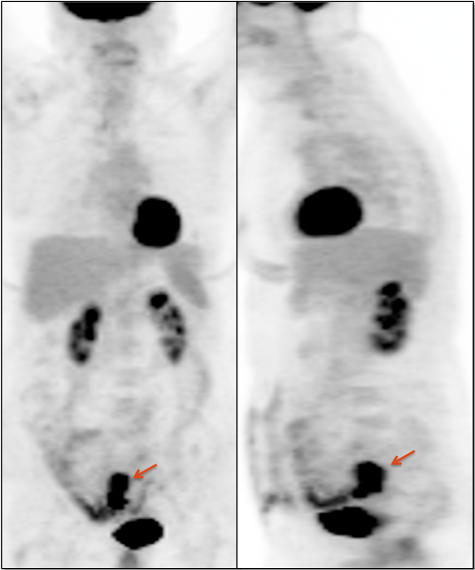
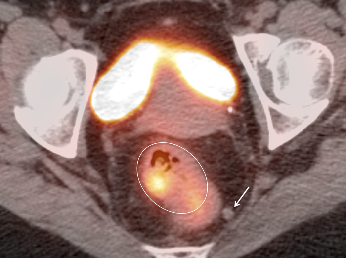
  • Beware the small rectal cancer!  As the ano-rectal region frequently demonstrates intense physiologic uptake, it is very easy to overlook a rectal malignancy, especially if it is an incidental finding.  To avoid this error, always evaluate the rectum carefully on the sagittal whole body images.  It is shocking to see how readily apparent a rectal cancer can be on these images, yet so easily overlooked in the axial plane. 
  • Always evaluate the colonic anastomosis on a follow up exam, as it is a occasional site of recurrent disease.