Variables that Affect SUV

Unfortunately, SUV calculations are significantly influenced by a variety of factors, the effects of which can be profound.  An understanding of the limitations associated with SUV interpretation is essential to their proper use. Blind adherence to SUV calculations can be misleading and dangerous.

Patient Preparation (Plasma Glucose Level, Insulin, Exercise):

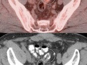
Essentially, elevated plasma glucose will compete with FDG (a glucose analog), decreasing tumoral uptake.  Elevated glucose also stimulated insulin production, driving glucose (and FDG) into muscle.  Recent strenuous exercise also drives FDG into skeletal muscle.   Ultimately, excessive skeletal muscle uptake, irrespective of etiology, both decreases available FDG for tumor uptake (decreasing tumor SUV) and potentially obscures lesions within or adjacent to this hypermetabolic muscle. [FIG. 1]   [FIG. 2] 

Time Between FDG Injection & Scan:

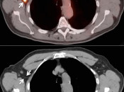
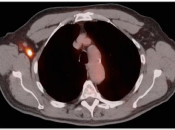
FDG accumulation in tissues generally increases in both normal and malignant tissues for at least 90 minutes before normal washout begins (some studies suggest plateauing of uptake can take up to 3-hours).  Therefore, a patient imaged 45 minutes after injection might demonstrate lower SUV’s than if that same patient had been imaged at 90, 120 or 180 minutes.

This is of particular concern when comparing serial exams.  If the two scans had significantly different time delays before scanning, SUV comparisons may be completely erroneous.  Consequently, following standardized imaging protocols is essential with PET/CT scanning (which may be impossible if the patient was previously scanned at an another facility). [FIG. 3] 

Partial Volume Effects:

 When the activity of a specific volume of tissue is being measured, the actual measurement includes adjacent tissues, falsely influencing (usually decreasing) the SUV calculation.

This effect results from the intrinsic poor resolution of PET scanning, and is influenced by the imaging parameters of the machine, the size and morphology of the object being evaluated, and the distribution of FDG in the body.

Partial volume effects occur for nearly all lesions less than 3.0 cm in diameter. The smaller the lesion, the more significant the partial volume effects.

The effects are so significant for small lesions, that lesions less than 8.0-mm should be considered “beneath the resolution of PET”.  [FIG. 4] 

Therefore, a 6.0-mm non-avid pulmonary nodule should not be dismissed as benign simply because it is non-avid.  A nodule of this size must be considered “indeterminate”, as it is “beneath the resolution of PET ”.

Extravasation:

FDG is injected intravenously.  As many oncology patients have challenging venous access, partial extravasation of FDG during injection is not uncommon.

This extravasated FDG can cause false positive uptake in adjacent nodes and vessels (discussed here).  Additionally, the resulting decrease in available FDG for circulation in the body (and absorption into tumors) can lead to false negative results (the “Sponge Effect”, discussed here). [FIG. 5]   [FIG. 6] 

Patient Weight:

The more obese the patient, the more elevated the FDG uptake in both normal organs and tumors. This results from the fact that FDG is poorly taken up by fat, when the patient has been in a fasting state. Therefore, the greater a patient’s percentage of fat, the greater percentage of the FDG dose remains available for non-fat tissue uptake.

Consequently, SUV’s of both normal organs and tumors are higher in obese patients than in thin patients (studies suggest up to a 50% increase in SUV measurements can be seen in morbidly obese patients).

This raises two concerns:

  • Is the SUV of a lesion overestimated because a patient is obese?
  • If the SUV of a lesion has changed between exams, could this change simply reflect alterations in the patient’s weight rather than a true change in intrinsic tumor activity? [FIG. 7]

Size & Positioning of ROI:

When measuring an SUV, a region of interest (ROI) is drawn around the lesion.  It is essential to assure that only the lesion is included in this ROI.

It is very easy to inadvertently include adjacent hypermetabolic structures in an ROI (frequently seen with lesions next to the heart, bladder, liver or brain), falsely increasing the measured SUV.  [FIG. 8]  [FIG. 9] 

Attenuation Correction (AC) Artifacts:

On occasion (typically in older PET/CT machines), attenuation correction of PET images can result in falsely elevated metabolic activity in regions of high CT density (e.g. metallic devices, oral contrast, calcification).  In such cases, these areas must be reviewed on the NAC (non-attenuation correction) images. If these regions are not also hypermetabolic on the NAC images, then their apparent increased FDG-uptake on the AC images is artifactual.  [FIG. 10]   [FIG. 11]