NEED TO EDIT LISTS BELOW
3-D Rotating MIP & Coronal “Quick MIP”:
- The diagnostic value of these whole-body black and white images cannot be overstated.
- Few radiologists are willing to reveal the secret that greater than 98% of their reported findings can be made from the single 3-D Rotating MIP image (or from the single Coronal “Quick MIP” image). [Case 1]
- 3-D Rotating MIP: [Video 1]
- Coronal “Quick MIP”: [Video 2]
- Interpretation of all PET/CT cases should always begin with a review of these important images.
Value of the Coronal PET Images:
- Particularly useful in identifying very subtle liver lesions that may be missed on the axial images. [Case 2] [Case 3] [Case 4]
- Often the best opportunity to evaluate the arms, when they are imaged at the patient’s side. When in this position, portions of the arms are typically outside the field of view on the CT portion of the exam (CT field of view = 50 cm; PET FOV = 70cm).
- Might be only time you notice splenomegaly.
Value of the Sagittal PET Images:
- A careful review of these sagittal images is especially important to catch lesions involving the rectum, uterus and spine that can be easily overlooked with axial imaging alone. [Case 5] [Case 6] [Case 7]
VISUALS : CORONAL
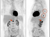
- Case 286: Breast primary & many mets (everything seen on Quick MIP)
Quick MIP
Axial: PET 37-194;
CT: 50-259 - Case 504: Subtle liver met (hot on follow up!)
- 4/25/14: Barely seen
Quick MIPAxial: 94-112 - 8/1/14: Hot!
Quick MIP
Axial: 86-101
- 4/25/14: Barely seen
- Case 706: 1 subtle lesion, barely seen.
Quick MIP!
Axial CT 103 (nothing seen)
Axial Fused 103 – subtle FDG lesion right liver! - Case 705: 1 subtle lesion.
Quick MIP
Axial CT 117 – nothing seen
Axial Fused 117 – extremely subtle lesion? Only Quick MIP lets you notice it! - Case 103: Adenopathy not easily noticed, if not very hot.
Quick MIP
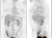
Axial: PET 44-182; CT 59-243 - Case 550: Arms outside FOV
Coronal – maybe just one image?
Axial: 103-213 – maybe not necessary.
Video:
All cases.
VISUALS : SAGITTAL
- Case 441: Rectal cancer
uick MIP Coronal: superimposed on bladder
Quick MIP Sagittal: See mass!
Rotating MIP: Great way to see this phenomenon
Axial: 180-202 (not needed?) - Case 375: Cervical cancer
Quick MIP Coronal: superimposed on bladder
Quick MIP Sagittal: See mass!
Axial: 170-192 (not needed?) - Case 440: Met to spine and cord (hidden behind heart on coronal MIP)
Coronal MIP (see 1 met to cord, but miss 2nd cord lesion & spine met)
Sagittal MIP (see 2nd cord lesion and spine lesion)
Axial: PET 67-112; CT 90-149 (not needed?)
Video:
All cases.







