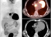
Lipomatous Hypertrophy of the Inter-Atrial Septum

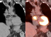
LHIAS is focal fatty infiltration of the inter-atrial septum of the heart.  It behaves as hypermetabolic brown fat, and is often intensely FDG-avid, appearing mass-like on the PET images.

Although a non-malignant finding, there are reports of a rare association with arrhythmias.

Diagnosis of this hypermetabolic PET finding is confirmed by the presence of only fat on the co-registered CT images. 

Misdiagnosis of this “Aunt Minnie” is unacceptable (as in the terrified patient referred to us from Europe, who flew in with his images to further evaluate his “heart cancer”).

Although benign, we recommend mentioning this finding in the body of the report, as it often looks impressive on the PET images and can prompt a call from a clinician concerned that you “missed” a mass. 

We generally report:

Incidentally noted is lipomatous hypertrophy of the inter-atrial septum, typically of no clinical significance.”