Interpreting the SUV: Threshold Values, “Oncologic Plausibility” & Relative Uptake

For many types of cancers, various authors have proposed precise threshold SUV numbers as specific indicators of malignancy (e.g. SUV 2.5 for a solitary pulmonary nodule).

As there is little consensus regarding these numbers, and because there are so many factors that can significantly affect FDG uptake in both normal and malignant tissues (discussed here), PETCTMD strongly cautions anyone from adhering to any fixed number as an indicator of benignity or malignancy (in fact, we strongly suspect the authors who propose these threshold numbers wouldn’t dare use them in their own reports).

SUV’s must be interpreted in the context of the type of cancer and its specific presentation in the particular case at hand (“Oncologic Plausibility”).

We must ask ourselves whether this particular FDG-avid finding fits the clinical picture of malignancy (primary or metastatic) in this particular case?

If it does, we are almost always looking at malignancy, and should report it as such.

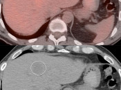
If, however, the finding does not fit a clinical picture, then we should be very cautious before reflexively reporting it as “suspicious for malignancy”.  In these cases, we must first exhaust all other potential explanations for the finding.  [Fig. 1]

“RELATIVE UPTAKE”

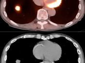
Despite the strong desire for quantification of metabolic activity via the SUV, the most accurate means of distinguishing malignancy from benignity ultimately relies on comparison of a potential lesion’s activity to the background uptake on the scan, its “relative uptake”.

Comparison is most frequently made to uptake within the liver, the mediastinal blood pool or to the organ within which a potential lesion is located.

This comparison can be made by visual assessment or by SUV analysis (comparing the SUV maximum of the lesion with the SUV mean of the liver, blood pool or solid organ).

Relative uptake is particularly useful for assessing lymph nodes, lung nodules and potential lesions located within most of the solid organs in the body.

Assessing Lymph Nodes in Lymphoma Cases:

For almost all lymphomas, nodal assessment is performed by comparing the activity of the lymph node with the uptake in the right lobe of the liver.  Generally speaking, if the nodal activity is greater than liver uptake, the lymph node represents active lymphoma. This is addressed in detail, here.

Assessing Lymph Nodes in Non-Lymphoma Cases:

Non-lymphoma nodal assessment is more complicated than the technique utilized for lymphoma cases.  It involves a combined assessment of “oncologic plausibility”, a node’s relative avidity compared to the liver, and special concern for nodes less than 8.0 mm. This specific algorithm is addressed in detail, here.

Potential Lesions in Solid Organs:

Assessment of a potential malignant lesion within most solid organs involves comparing the metabolic activity of the lesion to the background uptake within that organ (e.g. if a potential liver lesion’s metabolic activity is greater than the background activity of the liver, then the lesion is highly suspicious for malignancy).

There are a few exceptions to this rule, which are addressed in the The Cancers section. For example, many adrenal lesions are assessed by comparing their activity to the liver, not to the adrenal gland itself.

Pulmonary Nodules:

Assessment of a pulmonary nodule involves comparison of its metabolic activity to either background lung uptake (meaning that any uptake in a lung nodule is worrisome) or to mediastinal blood pool uptake.  Assessment of pulmonary nodules is addressed in detail, here.