Gastric Cancer

Fast Facts:

  • 1:111 incidence in adults
  • Male > female 
  • Subtypes:
    • Adenocarcinomas: 90-95%
    • Lymphomas: ≈ 5%
    • Carcinoid & GIST: ≈ 5%

Indications for PET/CT Scan

Initial Staging

  • Little value in the assessment of tumor size or degree of wall invasion.
  • The utility of PET/CT lies in its assessment of regional nodes and distant metastatic disease.
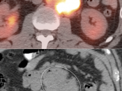
    • Distant Disease: Most commonly to the liver, peritoneum, lung and bone.

Assessing Response to Therapy & Prognosis: 

  • Early Response: Non-responders can be offered alternative therapy.
  • Late Response: Assess success or failure of therapy, and ultimate outcome.

Recurrence & Restaging

  • Restaging suspected recurrence.
  • Distinguishing recurrence from post-therapeutic inflammation.

Criteria for “Active Malignancy”:

The difficulty with PET/CT imaging and gastric cancer is that it is both easy to overlook and easy to over-call.

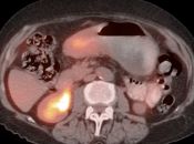
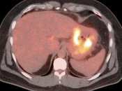
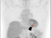
Normal FDG uptake involving the stomach can be extremely variable. It is not uncommon to see diffuse intense uptake throughout the entire stomach or intense uptake limited to only a segment of the stomach (fundus, body or antrum).  

While most patient’s presenting for PET/CT will already have a biopsy-proven tissue diagnosis, occasionally an incidental gastric cancer is detected.

In general, we raise a suspicion of gastric malignancy if:

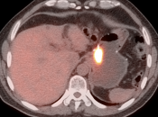
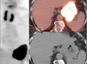
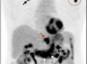
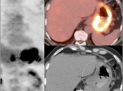
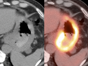
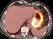
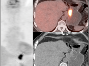
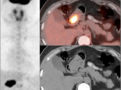
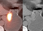
  • Focal or regional hypermetabolic activity is accompanied by at least the suggestion of associated wall thickening (often difficult to assess if the patient’s stomach is suboptimally distended with water or oral contrast);
  • Uptake is extremely focal (more likely to represent malignancy or ulcer);
  • Focal/segmental uptake is extremely intense.
  • Obviously, signs of associated metastatic disease on the scan give the radiologist much greater confidence in reporting a suspected primary gastric lesion.

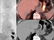
False Positives:

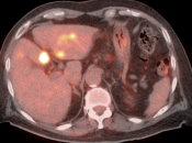
  • Normal Physiologic Uptake: This is, far and away, the most common etiology of diffuse or segmental gastric uptake, even if very intense.
  • Inflammation/Gastritis: Can be diffuse or focal. 
  • Gastric Ulcer: May present as a small focus of intense uptake. Will require evaluation with upper endoscopy.
  • Hiatal Hernia: Increased metabolic activity is frequently encountered within a hiatal hernia. Such uptake is nearly always physiologic or inflammatory. Malignancy, however, sometimes cannot be excluded and upper endoscopy may be required.

False Negatives:

  • Lesions less than 8.0 mm: These very small lesions (primary or metastatic) may have minimal or no appreciable uptake, as they are “beneath the resolution of PET”.
  • Poorly-Avid Primary Subtypes:
    • Mucinous carcinomas
    • Signet ring cell carcinoma
    • Poorly differentiated adenocarcinomas
  • Small FDG-avid perigastric nodes can be masked by superimposed uptake from the primary lesion.