Chapter 1: The science and the scan
"Boring, But Necessary"
- Hybrid Imaging System
- Anatomic & Functional Exam
- The Machine
- “Whole Body” vs. “Skull Base to Mid-Thigh”
- Three Sets of Images
Produced
- Glucose Analog
- Malignancy & Glucose Metabolism
- Mechanisms for Increased Intracellular Glucose
- Why 18F-FDG Works
- Whole Body Assessment
- The “You’re Kidding Me!” Effect
- Post-Therapeutic Scar vs. Active Malignancy
- Detecting Malignancy
- Staging Malignancy
- Assess Response to Therapy
- Detecting Recurrence
- Not All Cancer is FDG-Avid
- Normal FDG-Uptake vs. Pathologic Uptake
- Technical Limitations
- Poor Patient Preparation
- Misregistration
- Brown Fat Activation
- SUV Problems
- Fields of View Discrepancy
- PET/CT Artifacts
- Timing of Exam After Therapy
- CT Images
- Non-Attenuation Corrected Images
- Attenuation Corrected Images
- Maximum Intensity Projection (MIP)
- Fusion of Images
- All Images Viewed in 3 Planes
7. Contrast Media: Oral & I.V.
- Who Gets Oral Contrast?
- Who Gets IV Contrast?
- Oral Contrast “Cocktail” Recipe
8. What the Patient Should Expect
- Documenting Height & Weight
- Private Resting Room
- Drinking PO Contrast
- FDG Injection
- Delay Between Injection & Scan
9. Safety Concerns with PET/CT Imaging
- Radiation Exposure to Patient
- Radiation Exposure to Patient’s Contacts
- Patient Contact with Pregnant Women
- Breastfeeding
Chapter 2: PET/CT Problems Which Limit Interpretation
"Something just doesn't seem right here"
- Optimizing Glucose & Insulin Levels
- Fasting Prior to Exam
- Diabetic Patients
- Low Carbohydrate Diet
- Hydration
- Strenuous Exercise
- Voiding Prior to Exam
- Patient Instruction Sheet
- Definition
- Distribution / Appearance
- Don’t Miss the Hidden Nod
- Reporting Language
- Prevention
3. Timing of PET/CT Exam After Therapy
- “Rule of 3”
- Chemotherapy: 1 month
- Surgery: 2 months
- Radiation: 3 months
- Etiology: Hybrid Imaging
- Patient Movement
- Respiratory Motion
- Breathing Techniques
- Bowel Peristalsis
- False Positives
- False Negatives
- Reporting Language
- Beam Hardening
- Diaphragmatic Mismatch
- Linear Hand Motion
- Attenuation Correction
- Differing Fields of View
- Poor Patient Preparation
- FDG Extravasation
- Extensive Brown Fat
- Metformin-Induced Bowel Uptake
- Marked Reactive Marrow Uptake
- Extensive Tumor Uptake in
- Different Types of SUV Measurements
- Factors that Influence SUV Measurements
- What SUV Number Indicates Malignancy?
- What Percent Change in SUV on a Follow Up Exam is Significant?
- How to Compare Exams With Very Different Background Metabolic Activities?
Chapter 3: The Standardized Uptake Value (SUV)
"The good, the bad & the ugly"
1. What is the SUV & Why Used?
- Quantitative vs. Qualitative Assessment
- Unitless Measurement
- Formula
- SUV = ?
- Patient Preparation
- Time Between FDG Injection & Scan
- Partial Volume Effects
- Extravasation
- Patient Weight
- Size & Position of ROI
- Attenuation Correction Artifacts
- Consensus?
- Body Weight
- Lean Body Mass
- Ideal Body Weight
- Body Surface Area
- Maximum vs. Mean
- Average SUV’s by Organ
4. Interpreting the SUV: Threshold Values, “Oncologic Plausibility” & Relative Uptake
- Precise Threshold Values?
- “Oncologic Plausibility”
- Relative Uptake
- Assessing Nodes in Lymphoma Cases
- Assessing Nodes in Non-Lymphoma Cases
- Potential Lesions in Solid Organs
- Pulmonary Nodules
5. What % Change in SUV on a Follow Up Exam is Clinically Significant?
- The Problem
- Current Recommendations
6. How to Compare Sequential Exams With Very Different Background Activities?
- Differing Background Metabolic Activities
- When Qualitative Assessment is Required
- Reporting Language
7. Should We Just Abandon the SUV?
- Pros & Cons
- “Qualitative” Definitions
- Mild
- Moderate
- Intense
- Final Recommendations
Chapter 4: Our Systematic Approach to Reading a PET/CT
"Eat your vegetables"
1. Reading Station & Reading Software
- Reading Station
- Monitor Set-Up
- PET/CT Reading Software
- Hanging Protocol
- Reading in Context (“Oncologic Plausibility”)
- Measure Size on CT, Not on PET Images
- Abnormality Seen Only on First PET Image
- Assess the Patient’s Main Pathology Last
- Beware the Ureter
3. Excellent Views: The MIP, Coronal & Sagittal Images
- 3-D Rotating MIP & Coronal “Quick MIP”
- Coronal PET
- Sagittal PET
4. Written Annotations While Reading
- Numbers, Numbers & More Numbers
- Size & SUV Annotation System
- Sample Annotation Sheet
- Goals of Reporting
- Lawyers, Lawyers & Lawyers
- Sample PET/CT Report
- Negative Exam
- Positive Exam
- Patient Questionnaire
- Technologist’s Data Sheet
- Huge Exam: Requires Systematic Approach
- Our “12-Step Reading System”
- “The Read” in Action: Sample Case (Video)
- Annotations for Sample Case
- Final Report for Sample Case
Chapter 5: Normal Physiologic Distribution of FDG
"The essentials"
- To Locate Cancer, First Eliminate:
- Normal FDG-Avid “Structures”
- Benign FDG-Avid “Findings”
Chapter 6: Benign FDG-Avid "Findings" & Common Diagnostic Challenges
"Separating the Expert from the Not-So-Expert"
3. Chest
- Inflammatory Lymph Nodes
- Thymic Rebound
- Pleura: Talc Pleurodesis vs. Malignancy vs. Inflammation
-
Radiation-Induced Lung Disease
- Radiation Pneumonitis
- Radiation Fibrosis
- "Post-Therapeutic Inflammatory Changes" / Scarring of the Lung
- Atelectasis / Infiltrate
- Lipomatous Hypertrophy of the Inter-Atrial Septum
- Elastofibroma Dorsi
- Site of Prior Chest Port
- Esophagitis vs. Neoplasm
- Subcutaneous & Intramuscular Medical Injections
- Injected FDG-Blood Clot
4. Abdomen & Pelvis
- The Heterogeneous Liver
- Liver Ablation
- Hypermetabolic Geographic Fatty Infiltration
- Hypermetabolic Hepatic Adenoma
- FDG-Avid Adrenal Gland Algorithm
- Therapy-Induced Splenic Activation
- Peritoneal Carcinomatosis
- Pre-Sacral Soft Tissue After Rectal Surgery
- Gallbladder: Cholecystitis vs. Malignancy
- Inguinal Herniorraphy
- Bladder in Inguinal Canal
- Uterine Fibroid
- Tampon
5. Miscellaneous (continued)
-
Vascular Uptake
- Atherosclerosis
- Vasculitis
- Vascular Grafts
-
Value of NAC PET Images
- Resolving AC Artifacts
- Lung Nodule Identification
-
Non-Malignant, Yet Clinically Significant, FDG-Avid CT Abnormalies
- Acute Diverticulitis
- Colitis
- Cholecystitis
- Pneumonia
- Abscess
- Pancreatitis
- Skeletal Abnormalities [See Chapter 7]
Chapter 7: The Bones
"...is connected to the..."
Chapter 8: The Cancers
"Putting it all together"
Colorectal Cancer
Fast Facts:
- 3rd most commonly diagnosed cancer
- 3rd leading cause of cancer deaths (men & women)
- Localized disease 5-year survival: 90%
- Distant disease 5-year survival: 13%
Indications for PET/CT:
Not a Screening Exam:
Although not employed for screening, it is not uncommon to discover an incidental colorectal cancer on a PET/CT ordered for a completely different indication.
Initial Staging:
- Most initial staging is performed intra-operatively (most patients present with obstructive symptoms and require urgent surgery).
- As a baseline study in patients with advanced disease.
- High clinical suspicion for cancer, but a negative CT evaluation.
- High suspicion of metastatic disease at presentation.
- When neoadjuvant chemo and/or radiation is contemplated (rectal cancers).
Assessing Response to Therapy:
- Early Response: Non-responders can be offered alternative therapy.
- Late Response: Assess success or failure of therapy, and ultimate outcome.
Recurrence & Restaging: (Most common indication)
- Rising tumor markers & negative (or indeterminate) CT scan.
- Restaging known recurrence, especially if surgery is contemplated.
- Distinguishing recurrence from post-therapeutic inflammation/scarring.
Presentation of Primary Cancer:
- Focal bowel uptake, usually with associated bowel wall thickening.
- If long-segment, think inflammation.
- If diffuse, usually normal physiologic uptake.
Metastases:
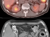
The most common sites of metastatic disease include the lymph nodes (regional & distant), liver, lung, peritoneal cavity, bones, brain and adrenal glands.
False Positives:
- Normal physiologic bowel uptake (discussed here) can be very focal and isolated to only one part of the colon, most commonly the cecum and rectum. Always look for associated bowel wall thickening on the CT images.
- Benign polyps (discussed here) can be intensely avid. They are usually not visible on the CT images.
- Inflammation (e.g. colitis) can be intensely avid and associated with bowel wall thickening (usually segmental, not focal).
- Post-Surgical inflammation (discussed here) can be focal and hypermetabolic. Must interpret in the clinical context (e.g. was the surgery recent or remote?). Often requires follow up.
- Metformin (discussed here) can cause extremely intense areas of bowel uptake.
- Oral Contrast (discussed here) can cause artifactually increased FDG-uptake on attenuation correction images.
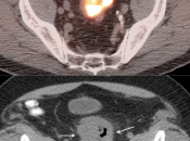
- Hemorrhoids are often intensely avid in the ano-rectal region (and are usually not visible on the CT images). Be certain that uptake does not lie more superiorly in the rectum. Additionally, carefully assess for an accompanying soft tissue density to exclude an anal cancer.
False Negatives:
- If there are multiple areas of intense bowel uptake (a common finding), the primary tumor can be difficult to locate — especially if the associated soft tissue lesion is small, which can be undetectable with CT imaging.
- Nodes under 8.0 mm may be non-avid only because they are beneath the resolution of PET (metastatic nodal assessment is discussed in detail, here).
- If < 8.0 mm, even mild uptake in a regional node is “highly suspicious”.
- If < 8.0 mm, even non-avid regional nodes are worrisome, and are considered “indeterminate”.
- Mucinous adenocarcinomas and necrotic tumors can have low avidity for FDG.
Caveats:
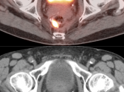
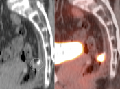
- Beware the small rectal cancer! As the ano-rectal region frequently demonstrates intense physiologic uptake, it is very easy to overlook a rectal malignancy, especially if it is an incidental finding. To avoid this error, always evaluate the rectum carefully on the sagittal whole body images. It is shocking to see how readily apparent a rectal cancer can be on these images, yet so easily overlooked in the axial plane.
- Always evaluate the colonic anastomosis on a follow up exam, as it is a occasional site of recurrent disease.


































